Con el paso del tiempo, algunas personas notan que sus encías se retraen, dejando al descubierto parte de la raíz del diente. Esta situación no solo afecta a la estética de la sonrisa, sino también a la salud bucodental: aumenta la sensibilidad, el riesgo de caries radiculares y la pérdida de soporte del diente.
En Pelegrina & Co, tratamos este problema mediante una técnica avanzada y mínimamente invasiva: el injerto de encías.
¿Qué es un injerto de encías?
El injerto de encías es un procedimiento de cirugía periodontal que permite recuperar el tejido perdido y proteger las raíces dentales expuestas. Consiste en colocar una pequeña porción de tejido —ya sea del propio paciente o de un material biocompatible— en la zona donde la encía se ha retraído, para regenerarla y devolverle su aspecto natural.
¿Cuándo se recomienda un injerto de encía?
El injerto es la mejor opción cuando existen:
• Retracciones gingivales (encías que se han desplazado hacia abajo o hacia arriba del diente).
• Sensibilidad dental al frío o al cepillado.
• Raíces expuestas o alteración estética de la sonrisa.
• Necesidad de reforzar el tejido antes de tratamientos ortodónticos o implantológicos.
Tipos de injertos
En Pelegrina & Co, tu clínica dental en Leganés realizamos diferentes técnicas según las necesidades de cada paciente:
• Injerto de tejido conectivo subepitelial: se obtiene del paladar y ofrece resultados estéticos excelentes.
• Injerto libre de encía: ideal para aumentar el grosor y resistencia del tejido.
• Injerto con biomateriales (sin necesidad de tomar tejido del paladar): una alternativa moderna, cómoda y eficaz.
Recuperación y cuidados
Gracias a las técnicas actuales y al uso del láser dental y microcirugía, el postoperatorio es muy cómodo. El paciente puede retomar su rutina habitual en pocos días, siguiendo unas pautas de higiene y control profesional.
En unas semanas, la encía recupera su volumen, firmeza y color natural, ofreciendo un resultado estético, saludable y duradero.
Ventajas del injerto de encías en Pelegrina & Co
• Cirugía mínimamente invasiva con tecnología láser.
• Equipo especializado en periodoncia y cirugía mucogingival.
• Control digital y seguimiento personalizado.
• Resultados naturales y duraderos.

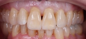
ANTES

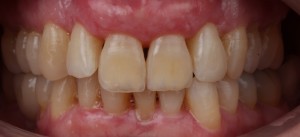
DESPUES

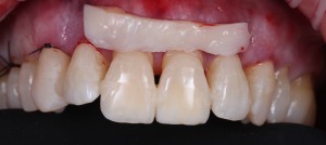
INJERTO CONECTIVO
¿Qué cuesta un injerto de encía?
El precio del injerto de encía varía según el tipo de técnica, la extensión del área a tratar y la complejidad del caso.
En Pelegrina & Co, el precio medio por zona oscila entre 500 € y 1.500 €, incluyendo:
• Estudio diagnóstico y planificación.
• Cirugía periodontal con anestesia local.
• Revisiones y controles postoperatorios.
Cada paciente recibe un presupuesto personalizado y cerrado, adaptado a sus necesidades.
Beneficios del injerto de encía
- • Detiene la progresión de la recesión gingival.
• Reduce la sensibilidad dental.
• Protege las raíces expuestas.
• Mejora la estética y armonía de la sonrisa.
• Refuerza la encía para futuros tratamientos (ortodoncia o implantes). - Mejora la calidad de la encía en caso de implantes inmediatos
Confía en los especialistas de Pelegrina & Co
En Pelegrina & Co, somos especialistas en microcirugía mucogingival y en tratamientos regenerativos con láser.
Combinamos precisión clínica con un enfoque estético y natural para lograr resultados saludables, duraderos y elegantes.
🦷 Recupera la salud y estética de tus encías con un tratamiento personalizado en Pelegrina & Co.
Te asesoraremos desde la primera visita para determinar la mejor técnica en tu caso y garantizar una sonrisa sana, armónica y protegida.
Pide tu cita, te esperamos !