Los implantes dentales son la solución odontológica perfecta para que muchas personas puedan recuperar la estética y la funcionalidad de la dentadura. La pérdida de los dientes puede producirse debido a diversas causas, como una enfermedad bucodental o un accidente. Por ese motivo, desde Pelegrina & Co te explicamos cómo funcionan los tratamientos de implantología y, además, te contamos en qué consiste nuestra Campaña de Implantes Dentales.
¿Qué son los implantes dentales?
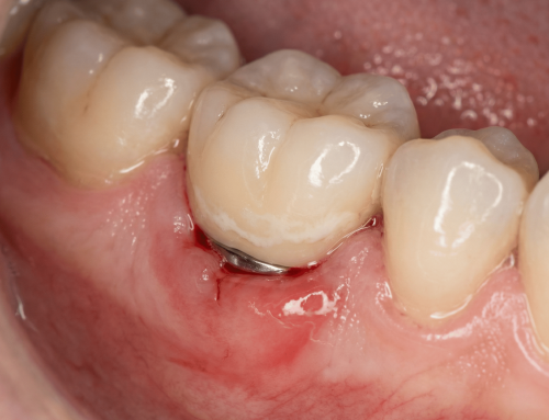
En Pelegrina & Co somos expertos en realizar tratamientos de implantología dental y contamos con la última tecnología para garantizar a nuestros pacientes la mejor calidad. Los implantes dentales consisten en piezas de titanio que sustituyen la raíz del diente y se osteintegran al hueso para recuperar la funcionalidad de la pieza dental.
Tras la colocación del implante, se coloca una corona provisional que permite al paciente realizar una vida normal mientras dura la osteointegración. Una vez pasado el periodo de tiempo necesario -normalmente unos tres meses-, se coloca la corona definitiva y la pieza queda restaurada.
Los implantes dentales ofrecen total funcionalidad, además de un aspecto natural que permite recuperar la estética de la dentadura. Si bien este tratamiento ofrece una gran eficacia y excelentes resultados, es necesario comprobar su viabilidad en cada paciente realizando un diagnóstico previo. De esta manera, comprobamos que la colocación del implante puede llevarse a cabo con total seguridad.

V Campaña de implantes dentales
En Pelegrina & Co queremos premiar la fidelidad de nuestros pacientes, y por ese motivo emprendemos la V Campaña de Implantes Dentales. Durante los meses de abril y mayo de 2021, podrás disfrutar en nuestra clínica dental de una promoción especial en nuestros servicios de implantología.
Si quieres renovar tu sonrisa y recuperar la funcionalidad de tu dentadura, no te pierdas el 10% de descuento que ofrecemos en nuestros tratamientos de implantes dentales. Podrás beneficiarte de una cómoda financiación del tratamiento, de hasta 24 meses sin intereses. Además, y como regalo especial, obsequiaremos a nuestros pacientes un cepillo eléctrico sónico.
Por supuesto, y como siempre, los pacientes que se beneficien de la promoción obtendrán un tratamiento realizado con los mejores materiales, con total garantía de calidad.

Elige Pelegrina & Co y recupera tu sonrisa
Esta primavera, elige salud y una sonrisa renovada con nuestra campaña de implantes dentales. Puedes solicitar más información en cualquiera de nuestros teléfonos de contacto para que resolvamos tus dudas.
Descubre nuestras clínicas dentales en Leganés; nos encontrarás en la Avenida Fuenlabrada, 64, bajos (teléfono 91 693 58 98) y en la calle Juan Sebastián El Cano, 2, bajos (teléfono 91 694 09 58). Nuestras clínicas disponen del certificado de calidad DentalQuality, garantizando los mejores estándares de calidad para nuestros pacientes. Si quieres saber más sobre nuestros tratamientos de implantología, contáctanos, estaremos encantados de atenderte.